肝臓の病気(肝炎・肝臓がんなど)
肝臓の病気には、糖分や脂質の取り過ぎ、アルコールの過剰摂取、ウイルス感染が原因で肝臓に異常をきたすことで起こる病気が多くあります。
肝臓の病気の多くは無症状のため、健康診断や人間ドックを受診されてはじめて異常に気付くことが多いです。健診などで肝機能異常を指摘された方は放置せず肝臓専門医を受診しましょう。

- 肝機能異常とアルコール
- 脂肪肝
- ウイルス性肝炎
- 肝硬変
- 非アルコール性肝炎(NASH)
- 肝臓がん
- 原発性胆汁性胆管炎
- 自己免疫性肝炎
肝機能異常とアルコール・食事・薬
肝機能障害とアルコール
アルコール性肝障害は、お酒を良く飲む方の肝臓病です。病気になってしまうお酒の量には個人差があり、女性は男性より少ない量のお酒で肝臓を悪くすると言われています。γ-GTPは最もアルコールの影響を受けやすい検査数値です。
お酒が好きな方の場合、肝機能の数値が高いと「アルコールのせいなので、お酒を控えてください」と言われがちです。しかし他の深刻な病気が隠れていることがあるため一度はしっかりと検査を受けることをお勧めします。半年ちかく「アルコールのせいで肝臓の数値が高いから、お酒を控えるように」と言われ続けていた方が、「お酒をやめたのに数値がよくならなくて困っています。」と受診されたことがあります。検査をしてみたところ肝臓癌の一種で胆管細胞癌という病気でした。「肝機能障害はお酒のせい」と早合点するのは危険です。
食事で改善する肝機能障害
脂肪肝はもっとも多い肝臓の病気です。脂肪肝を引き起こす主な原因は肥満とお酒です。このうち肥満が原因の脂肪肝を「非アルコール性脂肪肝」と呼びます。この病気はほとんど無症状ですが、高率に糖尿病や高血圧といった生活習慣病を合併するようになります。また一部の非アルコール性脂肪肝の患者さんは肝硬変にまで病気が進行したり、肝臓癌を合併したりします。この病気には食事の工夫と運動による減量が効果的です。血糖を下げる薬の一部や中性脂肪を下げる薬が非アルコール性脂肪肝炎の改善を助けることがわかっています。
肝機能障害と薬・サプリメント
薬やサプリメントが原因で肝臓の数値が高くなることがあります。問診で、服用している薬やサプリメントについて詳しく教えてください。お薬手帳や、サプリメントの包装などを受診の際に持参するといいでしょう。
脂肪肝とは
中性脂肪が肝臓に蓄積する病気です。過剰なアルコール摂取や肥満、生活習慣病などが原因で、肝臓に余分な脂肪が蓄えられた状態です。アルコールが原因の脂肪肝を「アルコール性脂肪肝」、それ以外の脂肪肝を「非アルコール性脂肪肝」と呼びます。脂肪の割合が肝細胞全体の30%を占める場合に、脂肪肝と診断されます。
日本での脂肪肝の頻度は増えており、検診を受けた方の20~30%に脂肪肝が認められたという報告があります。
脂肪肝の原因
脂肪肝の原因としては過剰なアルコール摂取や肥満、糖尿病、脂質異常症、高血圧といった生活習慣病があります。また、最近では膵頭十二指腸切除術という手術の後の消化吸収障害やホルモン異常に伴う代謝機能障害、睡眠時無呼吸症候群なども脂肪肝の原因として注目されています。
脂肪肝の症状
全身倦怠感(全身がだるい感じ)や腹部膨満感(お腹が張った感じ)を来たす場合もありますが、基本的には脂肪肝だけでは症状が出ることはまれです。脂肪肝が悪化して、肝硬変の状態にならないと症状が出ることは少ないです。また、肝硬変でも初期には症状が出ることは少ないですが、進行すると腹水の貯留、足のむくみ(下腿浮腫)、意識障害(肝性脳症)などの様々な症状が出てきます。食道や胃の静脈瘤ができて破裂した場合には吐血や黒色便、ショックなどの症状を来たしますし、肝臓のがん(肝細胞癌)ができた場合には腹痛などの症状をきたすことがあります。
脂肪肝の検査・診断

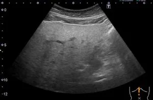
血液検査で肝機能を調べるほか、飲酒の有無の確認、超音波検査やCT検査などの画像検査により、肝臓の大きさや脂肪のつき具合を見て診断します。
超音波検査では右図のように肝臓が白く見えるのが特徴です。
脂肪肝の治療
アルコールが原因の場合は禁酒(もしくは飲酒量の減量)が一番の治療になります。生活習慣病などが原因の場合は生活習慣の改善や減量が基本的な治療になります。残念ながら現在のところ、脂肪肝について強力にお勧めできるお薬はないのが現状です。
生活習慣の改善としては下記のことを心がけましょう。
・バランスのよい食事:脂肪分の多い食事や糖質の摂りすぎに注意しましょう。また、全体のカロリーが多い場合はカロリー制限も重要です。
・定期的な適度な運動:有酸素運動(ジョギングや水泳、エアロビクス、サイクリングといった、ある程度の時間をかけながら少量から中程度の負荷をかけて行う運動)が勧められています。
ウイルス性肝炎
肝炎は、肝臓に炎症がおこり、発熱や黄疸、全身の倦怠感等の症状をきたす病気です。
日本人の肝炎の多くがウイルス性と言われています。肝炎を引き起こすウイルスには、A型肝炎ウイルス、B型肝炎ウイルス、C型肝炎ウイルス、E型肝炎ウイルス、EBウイルス、サイトメガロウイルスなどがあります。ウイルスの種類によって感染経路は異りますが、主な感染経路は経口感染、血液感染、性行為感染等です。
ウイルス肝炎が重症化すると、肝硬変や肝臓がんといった深刻な病態になる場合があります。早めの検査と治療開始で、その後の経過を良くできます。
肝硬変
肝硬変とは、肝組織が慢性的な障害を受けることによって、肝臓がゴツゴツと硬く変化し、機能が弱った状態です。ウイルス性肝炎やアルコール、非アルコール性脂肪肝炎を治療せず放置すると肝硬変に至ります。
初期症状としては、食欲不振や、疲れやすくなった等があり、重篤化すると、黄疸の症状や腹水が溜まったり、吐血、意識障害に陥ることがあります。
血液検査やCTや超音波等の画像診断で検査することができます。
いったん肝硬変に至ると治療をしてもすっかり元に戻らないため、早期で病気の進行を防ぐ必要があります。
非アルコール性脂肪肝障害(NAFLD)と非アルコール性脂肪肝炎(NASH)
肝臓を構成する主な細胞である肝細胞に脂肪成分が蓄積した状態を脂肪肝といいます。脂肪肝を引き起こす主な原因はメタボリックシンドロームとアルコールです。メタボリックシンドロームや急激な体重増加が原因で発症する脂肪肝を非アルコール性脂肪肝障害(NAFLD:ナッフルディー)といいます。NAFLDの患者さんはとても多く、アジア人の成人では男性の32.2~41.0%、女性の8.7~17.7%が罹患しています。また、NAFLDの患者さんは増加しており日本人の健康診断受診者を対象にした研究でその罹患率は2001年の18%から、2009-2010年では29.7%に増えています。
脂肪の蓄積に加え、肝臓の炎症が加わった状態が非アルコール性脂肪肝炎(NASH:ナッシュ)です。NAFLDの患者さんのうち1~2割がNASHだと言われています。NASHは無症状ですが数年から十数年の経過で肝硬変へと進展します。肝硬変になると、だるさ、食欲低下、浮腫み、腹水によるお腹の張り、白目や肌が黄色くなる(黄疸)などの症状が現れます。いったん肝硬変まで病気が進んでしまうと、治療を行っても元の状態に戻ることはできません。
肝臓がん
肝臓がんは、日本では5番目に亡くなるかたの多い癌です。初めから肝臓に発生する原発性肝癌と胃や大腸、肺にできた癌が肝臓に広がって起こる転移性肝癌の二通りがあります。
原発性肝癌
肝細胞癌
原発性肝癌の最も多いタイプが肝細胞癌です。肝細胞癌は、肝硬変、B型肝炎、C型肝炎の方で特に発症しやすいです。また、糖尿病や非アルコール性脂肪肝炎も肝細胞癌のリスクになるといわれています。肝細胞癌はとても進行した状態になってはじめて自覚症状が出るので、早期発見のためには定期検査が必要です。エコー、CT、MRIと腫瘍マーカー(AFP、PIVKA2)検査にて診断します。手術治療、ラジオ波焼灼術、抗がん剤が肝細胞癌の主な治療法です。
胆管細胞がん
原発性肝癌のおよそ5%が胆管細胞癌です。肝細胞癌とは対照的に胆管細胞癌のほとんどは病気のない肝臓に発症します。胆管細胞癌は外科手術で治療されます。
転移性肝癌
転移性肝癌は肝臓以外に発生した癌が血液の流れに乗って肝臓に転移したものです。転移もとの病変を「原発巣」と呼びます。転移性肝癌の原発巣は多いものから順に1)大腸がん、2)胃がん、3)すい臓がん、4)肺がんです。転移性肝癌は高度に進行すると黄疸や腹水を引き起こします。転移性肝癌に対しては、抗がん剤治療が行われることが多いですが、一定の条件で手術治療やラジオ波焼灼術が行われることがあります。
原発性胆汁性胆管炎
原発性胆汁性胆管炎は、肝臓の中の小さな胆管に障害を起こす病気です。中年以降の女性に多く見られる病気で、初期には無症状です。γ-GTPの値が高値になることが特徴です。進行すると黄疸や腹水、吐血などの症状が現れます。この病気の原因は詳しくわかっていませんが、免疫システムの異常が関与していると言われています。同様に免疫システムの異常で発症する関節リウマチやシェーグレン症候群、慢性甲状腺炎を合併することがあります。また、原発性胆汁性胆管炎は骨粗しょう症や高コレステロール血症を引き起こしやすいです。原発性胆汁性胆管炎は適切に診断し、ウルソデオキシコール酸の服用を継続することで肝硬変への進行を抑えられることが多いです。
自己免疫性肝炎
自己免疫性肝炎は免疫システムの異常によって引き起こされる慢性の肝臓病です。GOTやGPTが高値となりますが、これらの数値が上がったり下がったりを繰り返すこともあります。この病気は50歳代以降の女性に多く見られますが、男性や若い女性にも発症することがあります。自己免疫性肝炎の確定診断には肝生検が行われます。肝生検は肝臓の組織を少量採取し顕微鏡観察をする検査です。自己免疫性肝炎の治療の中心は副腎皮質ステロイド剤です。副腎皮質ステロイド剤に習熟した肝臓専門医が継続的に治療管理することで、治療の有効性と安全性が向上します。
まとめ
肝臓病は症状が出にくく、いったん症状が出現したときにはすでに手遅れになっていることが少なくないです。また、肝臓の検査値異常の程度が軽くても深刻な病気が隠れていることがあります。
健康診断で肝機能障害を指摘された場合、「肝臓専門医」を受診してしっかり検査を受けてください。
